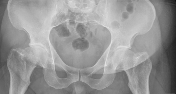
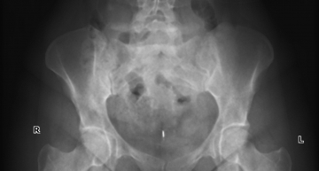
Как лечить коксоартроз и возрастные изменения в коленном суставе, если ничего не помогает?

зоя филимоновна
Больше всего беспокоит: боль в тазобедренном и коленном суставе, берцовой кости при ходбе и сидении
в последние три года периодически возникали боли в коленных суставах. амбулаторное и санаторное лечение приносило некоторое облегчение, на два три месяца. летом на даче стараюсь не перегружать суставы, занимаюсь посильным физическим трудом. но с августа 2013 появились сильные боли в левом тазобедренном и коленном суставах. по снимку, сделанному в поликлинике, врачи поставили диагноз: коксоартроз и возрастные изменения в коленном суставе. по предписанию врачей проколола мукосат 20 уколов и диклоберл 15 уколов, но улучшения не наступило. сейчас мучают дикие боли в левом тазоюедренном и коленном суставах, и при ходьбе очень болит берцовая кость. предложеные физиопроцедуры пройти не могу, так как практически не выхожу из дома. на некоторое время помогает нимесулид 100мг в таблетках. с каждым днем боли все сильнее, а лекарственное воздействие все меньше.