Онлайн-консультация

  1. Главная
  2. Онлайн-консультация
Оставьте свой вопрос здесь
Консультанты раздела
Разделы медицины

коксартроз

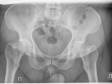
данила
Больше всего беспокоит: редкие боли в колене и в паховой области при нагрузке
Прикреплённые файлы:
Гость, Вы можете оставить свой комментарий:

Чтобы оставить комментарий, необходимо войти на сайт:

Статьи врачей по указанным в вопросе темам и болезням

Коксартрозом чаще всего страдают мужчины после 40 лет. Гимнастика при коксартрозе от врача

В нашем организме 230 суставов. Но как мало мы о них знаем и как редко заботимся.

156
1

Похожие вопросы

Какая степень коксартроза?

Здравствуйте, мне 27 лет, примерно пол года беспокоят постоянные боли в тазобедренных суставах по

26
8

Артроз тазобедренного сустава в 21 год уже не лечится?

Здраствуйте, меня зовут анна, мне 21 год.

35
13

Как лечить коксоартроз и возрастные изменения в коленном суставе, если ничего не помогает?

в последние три года периодически возникали боли в коленных суставах.

11
1

Правильно ли мне ставят диагноз - коксартроз?

Здравствуйте, меня зовут Елена. Мне 28 лет. Живу в Могилеве.

118
4

Травматологи-ортопеды в Минске

Найдено 3 врачей (отображаются 1 - 3)

Обновлено 17.04.2026
Эйсмонт Олег Леонидович
1 97
отзывов к врачу
Травматолог-ортопед
Высшая категория
Последний отзыв
Очень очень хороший доктор. У меня ревматоидный артрит с 17 лет....подробнее

Диагностика и лечение заболеваний и повреждений суставов, менисков, сухожилий, связок, в том числе спортивная травматология.

Обновлено 29.11.2025
Хахелько Константин Евгеньевич
1 12
отзывов к врачу
Травматолог-ортопед
Высшая категория, стаж работы с 1989 г.
Последний отзыв
Замечательный хирург и человек. Лечил полностью поломанного моего папу после аварии....подробнее
Обновлено 30.01.2025
Кезля Олег Петрович
1 78
отзывов к врачу
Травматолог-ортопед
Высшая категория, стаж работы с 1977 г.
Последний отзыв
Здравствуйте! Может кто-то знает, где сейчас принимает Олег Петрович?...подробнее